| 广告联系 | 繁体版 | 手机版 | 微信 | 微博 | 搜索:
欢迎您 游客 | 登录 | 免费注册 | 忘记了密码 | 社交账号注册或登录

首页

温哥华资讯

温哥华地产

温哥华教育

温哥华财税

新移民/招聘

黄页/二手

旅游

饿16小时竟能抗癌?科学轻断食得这么做


请用微信 扫一扫 扫描上面的二维码,然后点击页面右上角的 ... 图标,然后点击 发送给朋友分享到朋友圈,谢谢!
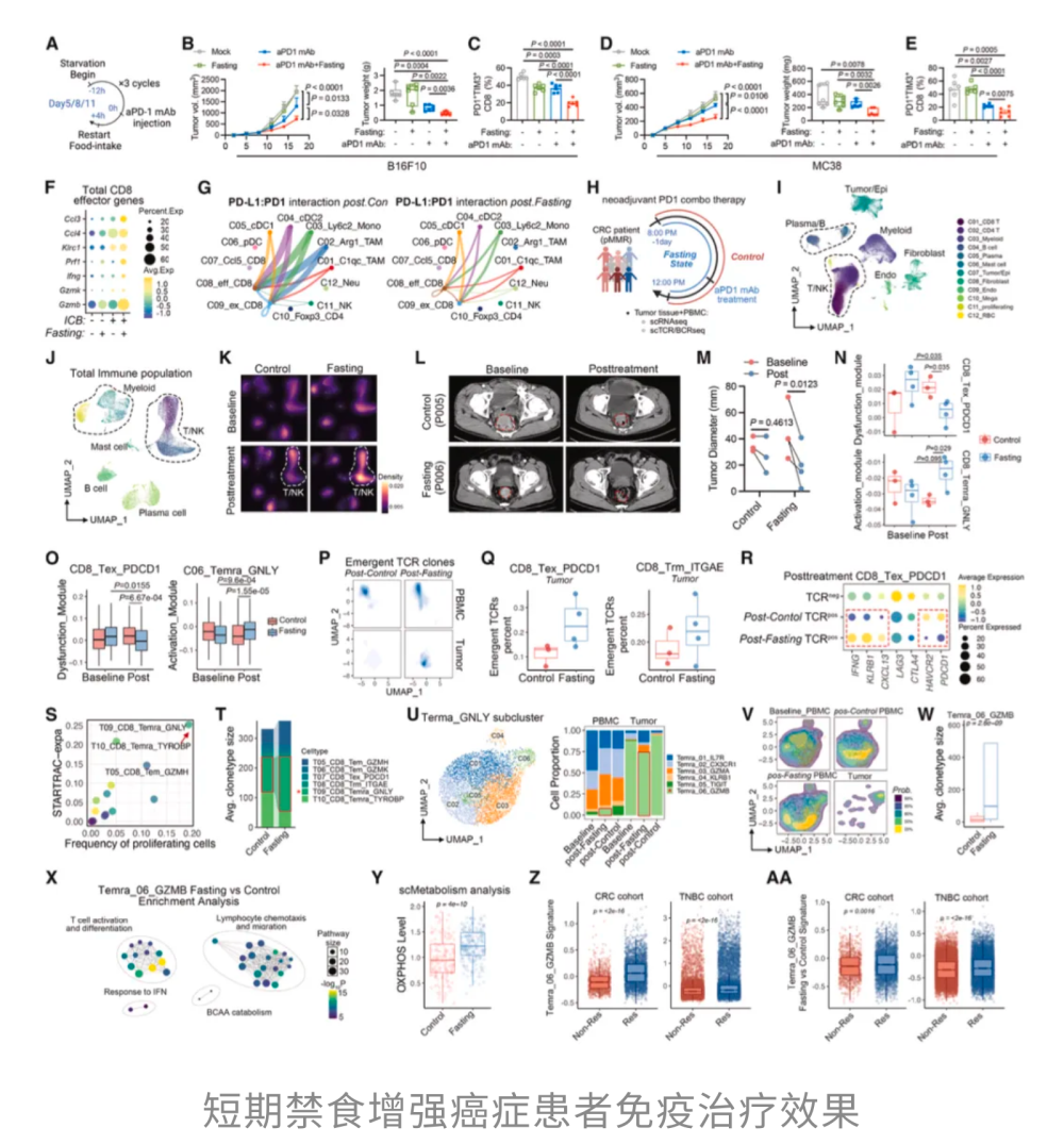
简而言之,16小时左右的短期禁食,迫使肿瘤细胞为了获取生存必需的谷氨酰胺,不得不进行一种“代谢交易”,将宝贵的lle“拱手相让”给周围的CD8+T细胞。肿瘤细胞原本是想“自救”,结果却在无意中给免疫细胞递了“燃料”。




基于上述发现,研究团队验证了这套“16小时轻断食+免疫治疗”的组合方案的治疗潜力。




换言之,短期禁食可以重塑代谢环境,增强T细胞功能,并进一步放大免疫治疗的效果。



16+8轻断食,怎么一会儿“封神”,


一会儿“翻车”?

不过,这些年一直稳坐饮食圈的“顶流”位置的16+8轻断食,支持者不少,争议声也同样不小。

比如,此前一项由上海交通大学医学院联合哈佛大学开展的研究[2],就让不少“轻断食人”当场破防。研究结果显示,与每天进食时间集中在12-14小时的人相比,每天进食窗口少于8小时的人,心血管死亡风险反而高出了135%。


看到这里,很多人开始嘀咕:“同样是16+8轻断食,怎么有时候被捧上“神坛”,有时候又被认为“翻车”?”

正因为结论时常“打架”,我们才有必要把近年来关于16+8轻断食正负两方面的研究放在一起,重新捋一捋。

近年16+8轻断食正负两方面的研究汇总


觉得新闻不错,请点个赞吧     这条新闻还没有人评论喔,等着您的高见呢
注:
  • 新闻来源于其它媒体,内容不代表本站立场!
  • 在此页阅读全文
    猜您喜欢:
    您可能也喜欢:
    我来说两句:
    评论:
    安全校验码:
    请在此处输入图片中的数字
    The Captcha image
    Terms & Conditions    Privacy Policy    Political ADs    Activities Agreement    Contact Us    Sitemap    

    加西网为北美中文网传媒集团旗下网站

    页面生成: 0.0358 秒 and 5 DB Queries in 0.0103 秒