| 廣告聯系 | 簡體版 | 手機版 | 微信 | 微博 | 搜索:
歡迎您 游客 | 登錄 | 免費注冊 | 忘記了密碼 | 社交賬號注冊或登錄

首頁

溫哥華資訊

溫哥華地產

溫哥華教育

溫哥華財稅

新移民/招聘

黃頁/二手

旅游

"牛排紋肌肉" 這飲食正悄悄毀掉你


請用微信 掃一掃 掃描上面的二維碼,然後點擊頁面右上角的 ... 圖標,然後點擊 發送給朋友分享到朋友圈,謝謝!
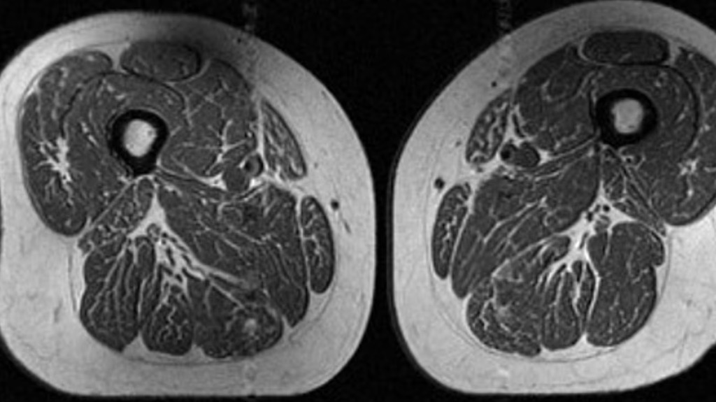
(加西網綜合) 一項最新研究顯示,長期大量攝入超加工食品,可能導致人體肌肉內部脂肪顯著增加,甚至在醫學影像中呈現類似“高脂牛排”的紋理,這一變化或與多種健康風險相關。


該研究發表在醫學期刊 Radiological Society of North America 旗下期刊《Radiology》上。研究人員通過核磁共振成像(MRI)分析發現,一名62歲女性的大腿肌肉中布滿細密脂肪紋理,而其年度熱量攝入中約87%來自超加工食品。

CNN報道,研究主要作者、來自 University of California, San Francisco 的研究員Zehra Akkaya表示,該參與者的飲食主要包括冷麥片、糖果及含糖飲料等。




CNN

肌肉“藏脂”或預示健康問題

研究指出,這種隱藏在肌肉纖維之間的脂肪會削弱肌肉質量,影響肌肉再生能力,從而增加疾病風險。

分析顯示,即使在尚未出現膝關節骨關節炎症狀的人群中,肌肉質量下降的跡象已提前出現。另一名攝入約29%超加工食品的女性,其肌肉脂肪沉積明顯較少。

專家指出,肌肉質量下降與膝骨關節炎密切相關,而該疾病是全球最常見的關節疾病之一,影響約3.75億人。


與多種慢性疾病相關

研究人員強調,超加工食品已被證實與肥胖、癌症、心血管疾病、2型糖尿病及抑郁症等多種慢性疾病有關,甚至可能縮短壽命。

數據顯示,美國成年人超過50%的熱量來自超加工食品,兒童比例更高達62%。



與熱量無關 與食品類型相關

研究分析了615名約60歲參與者的數據,發現無論總熱量攝入多少,超加工食品攝入比例越高,肌肉中的脂肪含量就越多。

研究人員表示,這表明問題不僅在於“吃多少”,更在於“吃什麼”。

不過專家也指出,該研究為觀察性研究,尚不能證明因果關系,但兩者之間存在明顯關聯。
您的點贊是對我們的鼓勵     好新聞沒人評論怎麼行,我來說幾句
上一頁12下一頁
注:
  • 加西網版權所有,未經授權或許可,嚴禁轉載或摘錄
  • 在此頁閱讀全文
    猜您喜歡:
    您可能也喜歡:
    我來說兩句:
    評論:
    安全校驗碼:
    請在此處輸入圖片中的數字
    The Captcha image
    Terms & Conditions    Privacy Policy    Political ADs    Activities Agreement    Contact Us    Sitemap    

    加西網為北美中文網傳媒集團旗下網站

    頁面生成: 0.0280 秒 and 5 DB Queries in 0.0025 秒